


Somos un Centro Odontológico Integral, comprometido en darte una sonrisa de impacto.
Recibirás más por lo pagado, verás superadas tus expectativas en tiempo y calidad de servicio al obtener una sonrisa impecable, con la mejor atención.

El cuidado de la boca y los dientes en los niños es muy importante. En nuestra clínica contamos con un equipo de Odontopediatras preparados para darles la seguridad, tranquilidad y confianza a los más pequeños de la casa, así la visita al dentista será una experiencia agradable y divertida, ya que convencer a los niños para que acudan al dentista suele ser complicado.
Si tu niño tiene alguna de las siguientes afecciones, es probable que necesite un tratamiento ortodóntico:

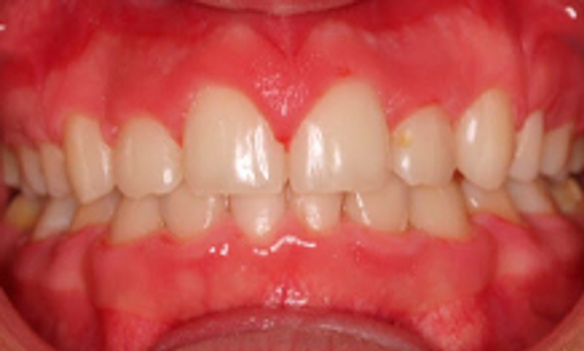
Las coronas de los dientes anteriores superiores cubren casi por completo las coronas de los dientes inferiores.

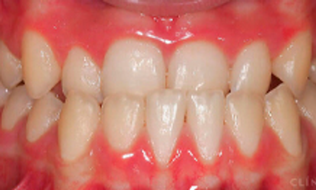
Es cuando se cierra la boca y los dientes frontales inferiores están frente a sus dientes superiores.

Se presenta un aspecto de "bulldog" o los dientes inferiores se extienden excesivamente hacia delante o bien los superiores se posicionan muy hacia atrás.

Se produce cuando la línea imaginaria que divide en el centro a los dientes anteriores superiores no se alinea con la de los dientes inferiores.

Separaciones o espacios entre los dientes como resultado de piezas faltantes o dientes que no ocupan todo el espacio.

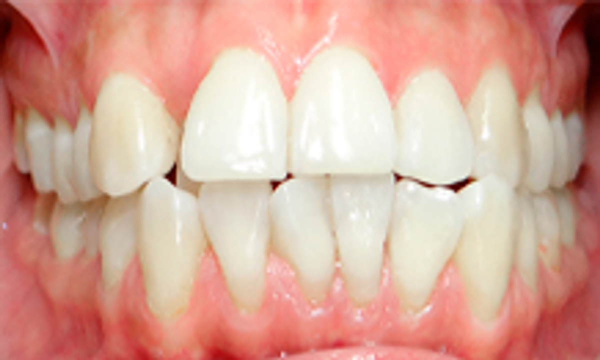
Espacio que se produce entre las superficies de mordida de los dientes anteriores cuando de algún lado el resto están cerrados
Habilidad mejorada para masticar comida.
Alivio de la deficiencia del habla.
Más fácil de cepillar, limpiar y usar hilo dental.
Cavidades reducidas y enfermedad periodontal.
Disminuir riesgo de rechinar y astillar los dientes.
Riesgo reducido de lesiones por dientes sobresalientes

La visita periódica al dentista ayuda a identificar y prevenir problemas que pueden afectar la dentadura de tu niño, y además, educamos al niño para que practique una correcta técnica de higiene, dando tanto a ellos como a los padres recomendaciones de cómo ayudar a sus hijos a mantener una buena salud bucal.


Tratamos a los niños con ternura para hacer que cada visita sea una aventura. Nuestros pediatras utilizan un método divertido para hacer que los más pequeños adquieran confianza desde pequeños y no conozcan nunca “el miedo al dentista».
Todos nuestros pacientes participan de un sistema de incentivos que refuerza su comportamiento y consigue que deseen volver a su próxima revisión.

Somos especialistas en ortodoncia y ofrecemos todas las alternativas posibles para corregir malformaciones y mejorar la funcionalidad y estética dental. Entendemos la visita al ortodoncista como una experiencia divertida y agradable y contamos con un equipo exclusivo que favorece que esto sea así.
Nuestros especialistas en ortodoncia y odontopediatras trabajan unidos y saben cómo hacer que la visita de sus hijos al ortodoncista sea algo más que una revisión dental.

Ayudamos a las futuras madres y les guiamos sobre los cuidados que debe seguir durante el embarazo para que tanto ella como su futuro hijo tengan una buena salud dental.
La prevención es la clave para reducir infecciones bucales y así controlar la trasmisión de bacterias cariogénicas a los hijos, manteniéndoles libres de caries el mayor tiempo posible.





Espacios agradables y esterilizados bajo protocolos de bio seguridad covid y con tecnología de punta que garantizan tu seguridad, la de tu niño y los resultados de su tratamiento.


